Crowns

Before

After
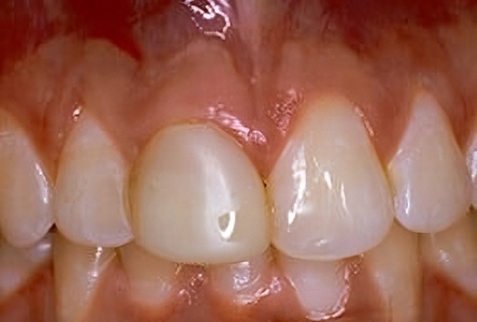
Before: Front (left) Central tooth has a poor restoration. Does not look natural and is not contoured properly to match the gumline of the rest of the teeth.
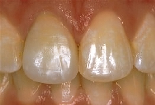
After: Replaced with an All Porcelain Crown (no metal). Tooth is now contoured to match the rest of the gumline. Restored tooth looks very natural and matches the shape and color of the patient’s teeth.

Before

After
Before: Patient needs Upper Arch Rehabilitation. Presents with Upper Anterior teeth that are stained, incisal edges (tooth edge) are worn down and chipped, and gumline recession is present.
After: Smile restored with placement of 8 Upper All Porcelain Crowns (Caps). Gumline and incisal edges are now uniform. Patient now has longer, better shaped teeth to enhance the smile line and aid in chewing/biting function.

Before

After
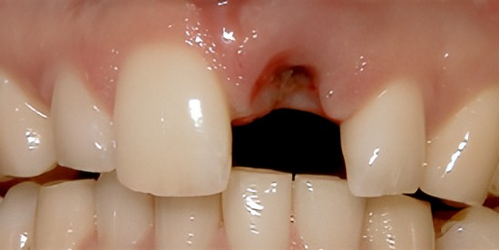
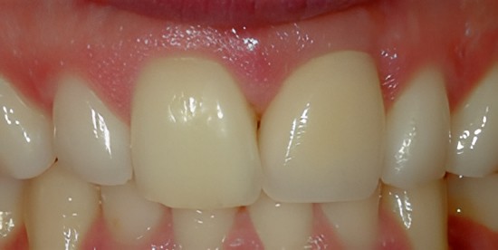
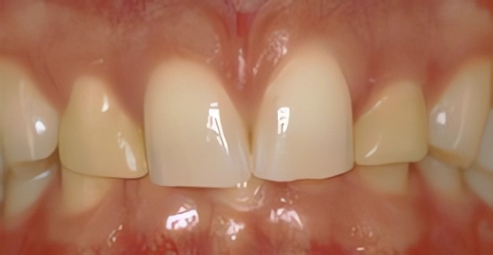
Before: Patient needs a Single Tooth Replacement of one Upper Central Incisor.
After: Smile and function restored with a Single Implant and an All Porcelain Crown (Cap) that fits securely over the implant.

Before

Before

After

After
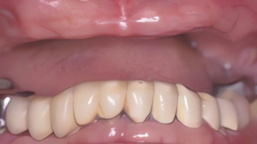
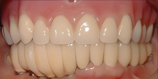
Before: Patient needs Upper and Lower Arch Rehabilitation.
After: Great smile, chewing function, and facial tissue support possible with an Upper Denture that is supported with Implants and Lower Implants and Crowns.

Before

After
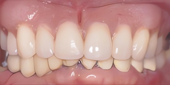
Before: Patient unhappy with six Upper Anterior teeth. The edges are uneven, the gumline is uneven on the two central incisors, and the color/shade is not uniform. The two lateral incisor teeth have been previously restored and are poorly shaped.
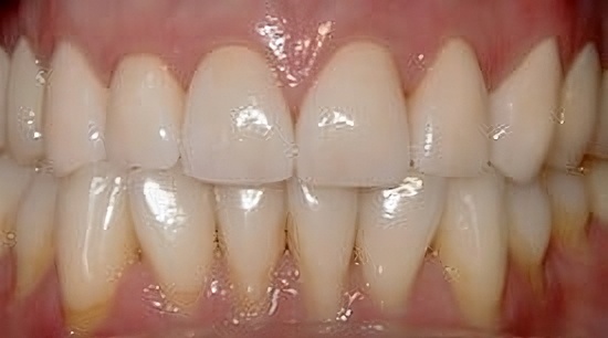
After: Smile restored with 6 Upper Anterior Crowns that are properly shaped, gumline is uniform, and color/shade is the same for all 6 incisor teeth.
Porcelain Fixed Bridges

Before

Before

After

After
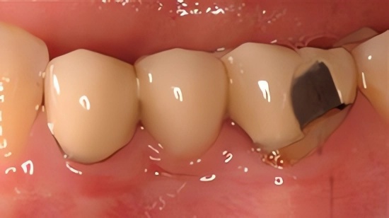
Before: 3 Unit bridge with chipped porcelain molar (supporting metal showing on molar tooth), poor enamel color match to patient’s natural teeth, and poor fit around the patient’s gumline.
After: Replaced Bridge with an All Porcelain Bridge. The new bridge now also matches the patient’s natural tooth color and was designed to properly fit around the gumline. Proper fit aids in decreasing decay and the ease of the patient’s ability to clean around a bridge.
Revanesse Facial Filler



The aging process can cause the skin lose its support structure and ability to retain moisture. This affects your appearance, your confidence and how you feel about yourself. Facial fillers allow you to take control of your appearance with natural and instantaneous results.
Diastima

Composite bonding closes the gap between the front teeth.
Crowns Before & After

Dental bridges are used for those people who have missing teeth. It is a fixed prosthesis that stays in place and does not need to be removed. A dental bridge is a false tooth (teeth) that is held in position by the teeth on either side of the gap. A false porcelain tooth is made, shaped and colour matched to the existing teeth.
WHY CONSIDER A DENTAL BRIDGE?
To fix or restore your smile
To maintain the shape of your face. Missing teeth, over time can change the shape of the jaw and face
If your speech is affected
If your chewing is negatively affected
To ensure proper positioning of your remaining teeth
There are different types of bridges available and can be determined and explained during a consultation.
Please call us if you have been considering a dental bridge (403) 443-2199.
#dentalbridge #dentalbridges #threehillsdental #falseteeth #seniorsteeth #seniorsdentist #familydentist
#dentalprocedure #trochu #drumhellerdenitstry #yycdental #carbondentist #lindendentist #s